back
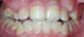
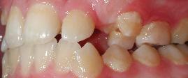
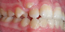
Severe
Crowding
and
Underbite
Tendency
Before
After
Smiles by Us...