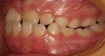
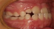
back
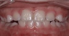
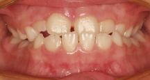
Underbite
Before
After
Smiles by Us...